
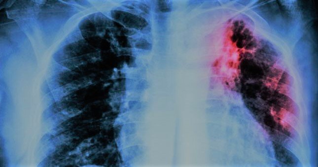
ಬೆಂಗಳೂರು: ಕೊರೋನದಿಂದ ಗುಣಮುಖರಾದವರಲ್ಲಿ ಕ್ಷಯ ರೋಗ ಕಾಣಿಸಿಕೊಳ್ಳುತ್ತಿದ್ದು ಆತಂಕ ಮೂಡಿಸಿದೆ. ಕಳೆದ ಒಂದು ತಿಂಗಳ ಅವಧಿಯಲ್ಲಿ ನಡೆದ ಸಮೀಕ್ಷೆಯಲ್ಲಿ ಈ ಅಂಶ ಬೆಳಕಿಗೆ ಬಂದಿದೆ. ಒಟ್ಟು 225 ಮಂದಿಯಲ್ಲಿ ಕ್ಷಯ ರೋಗ ಕಾಣಿಸಿಕೊಂಡಿದ್ದು ಇವರಲ್ಲಿ 151 ರೋಗಿಗಳು ಇತ್ತೀಚಿಗೆ ಕೊರೋನದಿಂದ ಚೇತರಿಸಿಕೊಂಡವರಾಗಿದ್ದಾರೆ.
ಬೆಂಗಳೂರು: ಕೊರೋನದಿಂದ ಗುಣಮುಖರಾದವರಲ್ಲಿ ಕ್ಷಯ ರೋಗ ಕಾಣಿಸಿಕೊಳ್ಳುತ್ತಿದ್ದು ಆತಂಕ ಮೂಡಿಸಿದೆ. ಕಳೆದ ಒಂದು ತಿಂಗಳ ಅವಧಿಯಲ್ಲಿ ನಡೆದ ಸಮೀಕ್ಷೆಯಲ್ಲಿ ಈ ಅಂಶ ಬೆಳಕಿಗೆ ಬಂದಿದೆ. ಒಟ್ಟು 225 ಮಂದಿಯಲ್ಲಿ ಕ್ಷಯ ರೋಗ ಕಾಣಿಸಿಕೊಂಡಿದ್ದು ಇವರಲ್ಲಿ 151 ರೋಗಿಗಳು ಇತ್ತೀಚಿಗೆ ಕೊರೋನದಿಂದ ಚೇತರಿಸಿಕೊಂಡವರಾಗಿದ್ದಾರೆ.
ಆರೋಗ್ಯ ಮತ್ತು ಕುಟುಂಬ ಕಲ್ಯಾಣ ಇಲಾಖೆ ಆಗಸ್ಟ್ 16ರಿಂದ ಸೆಪ್ಟೆಂಬರ್ 11ರವರೆಗೆ ರಾಜ್ಯಾದ್ಯಂತ ಮನೆಮನೆ ಸಮೀಕ್ಷೆ ನಡೆಸಿತ್ತು. 151 ಮಂದಿಗೆ ಈ ವರ್ಷದ ಜನವರಿಯಿಂದ ಜೂನ್ ಮಾಸದ ಅಂತ್ಯದ ಒಳಗೆ ಕೋವಿಡ್ ಬಂದಿತ್ತು. ಇದೀಗ ಅವರಲ್ಲಿ ಟಿಬಿ (ಕ್ಷಯ) ರ್ರೋಗ ಕಾಣಿಸಿಕೊಂಡಿದೆ.
ಬೆಂಗಳೂರು ನಗರದಲ್ಲಿ ಅತೀ ಹೆಚ್ಚು 44 ಟಿಬಿ ಪ್ರಕರಣಗಳು ದಾಖಲಾಗಿದೆ. ಉಳಿದಂತೆ ಬಳ್ಳಾರಿ ೨೨, ಮೈಸೂರು 14, ಚಿತ್ರಗುರ್ಗ ಹಾಗು ಕಲಬುರ್ಗಿಯಲ್ಲಿ ತಲಾ 13 ಪ್ರಕರಣಗಳು ಪತ್ತೆಯಾಗಿವೆ.